歯茎が腫れた
右下の10年前に治療した歯の歯茎が腫れた、歯磨きすると血が出る。3年前に検診した歯科医院で数年後腫れる可能性があると言われた。日によって歯茎に白いできものができる。できものを潰すと1週間くらい良くなる。 最近、口臭も気になるので治せるのならば治療したい。
歯茎の出来物
サイナストラクト
-
- 歯の内部の神経に住み着いた細菌により起こる慢性根尖性歯周炎が形成する排膿路(膿の出る道)
- 柔らかく、排膿路のため強く押しても鈍い痛みのことが多い。
- 鑑別のポイント
-
- 口内炎:表面を触って鋭い痛みを生じる
- 骨隆起:硬く、押しても痛みを生じない。
-
根の治療とは

歯の神経は、細い管の中に血管や神経繊維などが詰まった組織で迷路のような複雑な構造をしています。細い管を清掃して、お薬を緊密に詰めるのが根の治療(根管治療)です。
- 根の中の治療に際して、以下のようなことが起こる可能性があります。
- 歯が浮いたような感覚や痛みが一時的に4パーセントの確率で起こります。
- 治療する器具が細いため、稀に破折することがあります。
- 歯の破折を認めた場合、部位によっては抜歯の恐れがあります。
何度も治療しているあなたへ
今までに根管治療を受けられた方、神経の治療を繰り返していませんか? 治療が何度も何度も繰り返しになってしまうのには原因があります。 そして根管治療をする一番の目的を、再認識しましょう。

日本の保険診療はアメリカの20分の1の治療費で受けることができます。
少ない自己負担で一定水準の治療が受けられるのは、保険診療のメリットです。しかし、保険診療で行えるのは必要最低限の治療であり成功率が高い治療ではありません。
自由診療の費用は保険診療と比べると、どうしても高くなってしまい、簡単には決められないかもしれません。
保険診療で繰り返しの治療が必要になり、健康な歯が失われ、かつコストや労力がかかってしまいます。
健康な歯のうちに成功率の高い自由診療を利用した方が、歯の保存にとって非常に効果的です。


保険治療と自由診療の違い
根管治療において、保険診療と自由診療で大きく異なるのが治療期間の目安です。保険診療は1回の治療時間が30分程度で4~5回、複雑な場合はそれ以上の通院回数をかけて治療を行います。 数ヶ月かけて治療をすることがほとんどです。一方で自由診療は60~120分時間をかけて細かな治療を行い、通院回数は2~3回で、1ヶ月程で治療が終わります。 根管治療は保険診療のように長期間かけて行うと、根管内に細菌を増殖させて再治療になるリスクがあります。
治療の間隔をあけてしまうと、再治療のリスクはさらに高くなるため、週に1回程のペースで来院する必要があります。 根管治療における自由診療は治療回数を少なくすることで、患者様のご負担を軽くできるだけでなく、歯への負担を軽くし、治療の成功率を上げることができます。
当院の精密根管治療

3D診断(CT)
歯科用CTは3次元の立体画像で診断することが可能です。通常のXrayは2次元の写真のため、 根管治療において複雑な根管形態を正確に把握できません。 CTでの根管形態の把握は、根管治療において必須です。
マイクロスコープ
治療中はマイクロスコープEX TARO300を使い、肉眼では見ることが出来ない細部 まで確認します。根管治療は目には見えない細かな治療が必須となります。 マイクロスコープの使用により肉眼で見えない細部までしっかり拡大でき、より精度の 高い治療が行うことが出来ます。

ラバーダム防湿
治療部位のみを隔離する方法で根管治療を行うラバーダム防湿法 を導入しております。 唾液の中の細菌が根管内に侵入するのを防ぎ、再発するリスクを 抑えられる確実な治療です。
ニッケルチタンファイル
神経の管は、複雑で曲がっている歯がほとんどです。
従来のステンレスの器具では器具の硬さにより適切な清掃ができません。
最新のニッケルチタンファイルでは、柔らかく折れやすい欠点は、ありますが使用回数を守ことで適切に神経の管を清掃することができます。

滅菌器
治療に使用する器具は徹底した滅菌処理を行います。 世界でも基準が厳しいクラスBのオートクレーブにて、器具の高圧 蒸気滅菌処理を行っております。
根の治療の手順

1本の歯の生涯図

1本の歯は、むし歯の原因の改善・精密な治療がなされないと再発を繰り返します。1本の歯は、根の治療(根管治療)が生涯で2回程度治療をすることができます。1回目の根の治療から平均20年で抜歯になるとの報告もあります。根の治療に至らない、もしくは1回目の根の治療でしっかり治すことが大切です。
カウンセリング
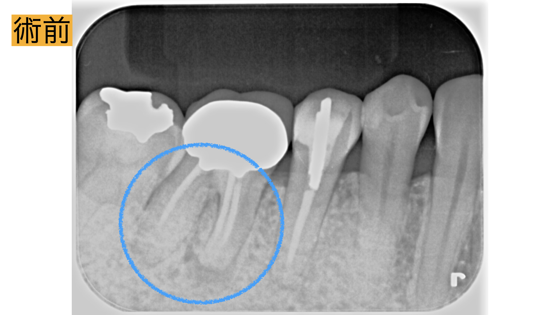
今回、根の治療が3回目とのこともあったため被せ物・土台を外して長期的予後が見込める場合は精密根管治療、見込めない場合は抜歯してブリッジ治療。と決定いたしました。
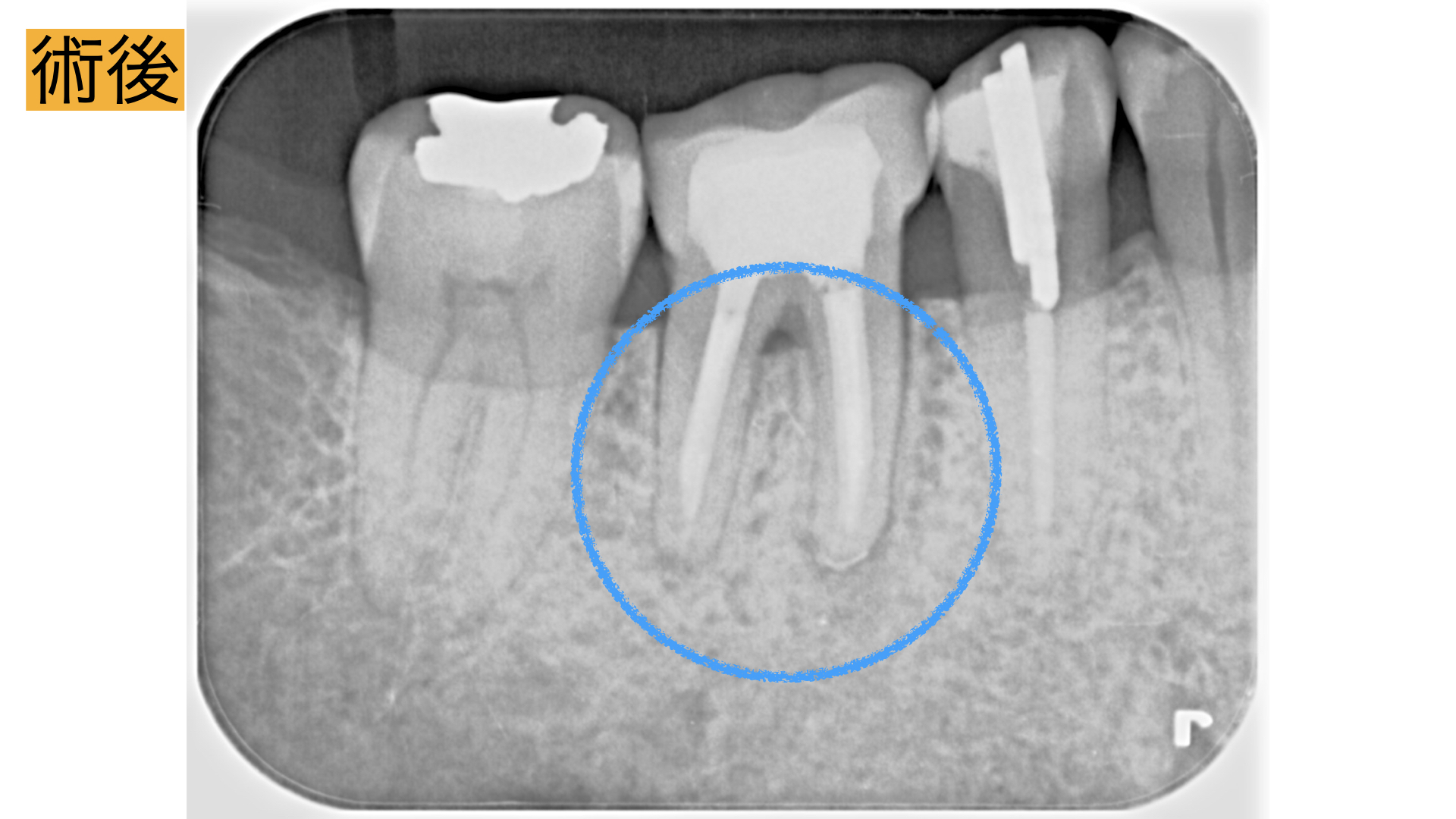
術後

術直後から痛み、腫れは、解消し2年間の経過観察も問題なく過ごせましたとのことでした。 レントゲンで骨の回復が確認とれ、非常に驚かれておりました。
費用
| 根管治療の適応判定 | 11,000円 |
| 大臼歯 再根管治療 | 110,000円 |
| 根管充填、土台作成 | 33,000円 |
| 経過観察 1,3,6,12,24カ月 | 0円 |
目白デンタルクリニックでは、複数名の医師で広い視点から歯のお悩みを解決します!
医院の特徴
アクセス・診療時間
土日も診療で通いやすい
東京都新宿区下落合3-18-2 嬉野ビル1F
TEL.03-6908-1377
※13:00~14:30は昼休みとなります。
※★土日は昼休みなしの9:00~17:00
※休診日:祝日
時間 |
月 |
火 |
水 |
木 |
金 |
土 |
日 |
10:00 ~ 13:00 |
⚫ |
⚫ |
⚫ |
⚫ |
⚫ |
★ |
★ |
14:30 ~ 18:30 |
⚫ |
⚫ |
⚫ |
⚫ |
⚫ |
★ |
★ |