親知らず移植とは
ブリッジやインプラントのように歯を失ってしまう部位に健康な親知らずを移植して使用する治療法。
症例
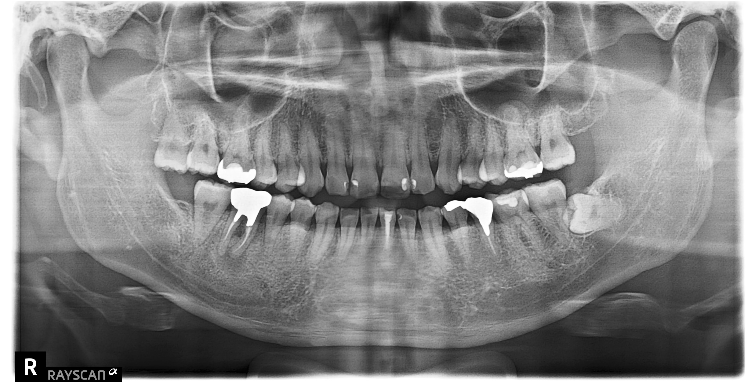
初診時
主訴:右下の歯茎が腫れた

周囲の検査と応急処置
カウンセリング

CTで精密検査をすると歯根の中央部で歯周病を起こしており、根の先にも大きな根尖病変を認めました。どちらも病変が大きく、残る歯の量が少なく、隣の歯を削ることが予想されました。通院回数、予後の状態と生活習慣、治療費用、周囲の歯の保護を考え、親知らずの移植をご提案いたしました。
右上の親知らずを右下に移植

移植治療

根管治療
一度抜歯している親知らずは神経が壊死しているため、根管治療を行います。

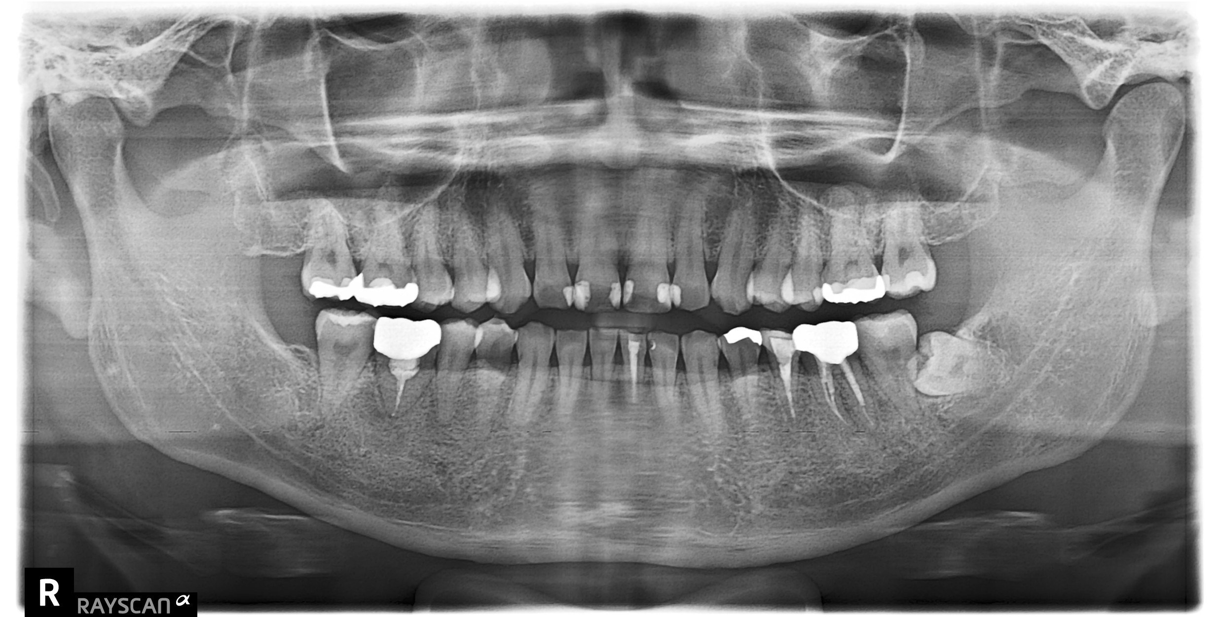
術後 半年

周囲の歯を保護することができ、レントゲンでは周囲の骨も回復してきておりました。
術後2年半
メリット・デメリット
メリット
失った歯の代わりに機能する
失った歯の隣の歯を保護できる
失った歯の歯槽骨が回復しやすい
インプラントよりも治療費が安い
親知らずの前の歯が磨きやすくなる
デメリット
外科処置を伴う
治療回数と料金
| 治療の流れ | 費用 | 通院回数 |
|---|---|---|
| カウンセリング | 11,000円 | 1 |
| 移植前処置 | 移植費用に含む | 1 |
| 移植治療 | 220,000円 | 1 |
| 消毒 | 移植費用に含む | 1 |
| 抜糸 | 移植費用に含む | 1 |
| 根管治療 | 移植費用に含む | 2 |
| 被せ物 型取り | 38,500円 | 1 |
| 被せ物 装着 | 被せ物代金に含む | 1 |
| 経過観察 | 0 | 1 |
| トータル | 269,500円 | 10回 |
※金額は税込となります
目白デンタルクリニックでは、複数名の医師で広い視点から歯のお悩みを解決します!
医院の特徴
1. スウェーデン式の最先端治療
2. ゆったり個室
3. あなただけの衛生士
4. いたくない、ここちいい
アクセス・診療時間
目白駅より徒歩3分
土日も診療で通いやすい
土日も診療で通いやすい
目白デンタルクリニック
東京都新宿区下落合3-18-2 嬉野ビル1F
TEL.03-6908-1377
※13:00~14:30は昼休みとなります。
※★土日は昼休みなしの9:00~17:00
※休診日:祝日
東京都新宿区下落合3-18-2 嬉野ビル1F
TEL.03-6908-1377
※13:00~14:30は昼休みとなります。
※★土日は昼休みなしの9:00~17:00
※休診日:祝日
時間 |
月 |
火 |
水 |
木 |
金 |
土 |
日 |
10:00 ~ 13:00 |
⚫ |
⚫ |
⚫ |
⚫ |
⚫ |
★ |
★ |
14:30 ~ 18:30 |
⚫ |
⚫ |
⚫ |
⚫ |
⚫ |
★ |
★ |